발바닥이 아픈 이유
- 카테고리 없음
- 2025. 5. 26. 11:37
발바닥이 아픈 이유 – 위치별로 의심해야 할 대표 질환 7가지 정리
“아침에 일어나서 첫걸음 디딜 때 발바닥이 찌릿해요”,
“하루 종일 걷고 나면 발바닥이 불에 덴 듯 아파요”…
이처럼 발바닥 통증은 단순 피로로 넘기기 쉽지만, 증상이 지속되거나 반복된다면 족저근막염, 지간신경종, 발바닥 피로골절, 신경 포착증 등 다양한 질환을 의심해볼 수 있습니다.
이 글에서는 발바닥 통증의 위치·양상에 따른 대표 원인 7가지를 구체적으로 정리하고, 자가진단 포인트와 병원 진료 기준까지 알려드립니다.
1. 족저근막염 – 아침 첫 발 디딜 때 찌릿한 통증



▷ 어떤 질환인가요?
발바닥 전체를 지지하는 **두꺼운 섬유조직(족저근막)**에 미세 손상이 반복되면서 염증이 생긴 상태입니다.
아침에 일어나 첫걸음이 가장 아픈 것이 특징이며, 시간이 지나면 통증이 일시적으로 완화되기도 합니다.
▷ 주요 증상
- 발뒤꿈치 안쪽~발바닥 중간부가 아픔
- 장시간 서 있거나 운동 후 통증 악화
- 걷기 시작하면 나아지다가 저녁에 다시 아파짐
- 발가락 굽힐 때, 발바닥을 눌렀을 때 통증 증가
2. 지간신경종 – 발가락 사이가 찌릿하고 화끈



▷ 어떤 질환인가요?
발가락 뼈 사이에 위치한 지간신경이 반복적인 자극을 받아 두꺼워지며 **신경종(종양처럼 변형된 조직)**이 생긴 상태입니다.
특히 앞꿈치 통증과 발가락 저림, 타는 듯한 느낌이 주요 증상입니다.
▷ 특징
- 보통 3~4번째 발가락 사이에서 발생
- 구두, 하이힐, 앞코가 좁은 신발 착용 시 악화
- 걸을 때 모래가 낀 느낌, 발가락 안쪽에서 딸깍 소리
- 신발 벗으면 통증 감소
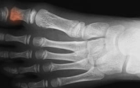
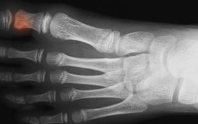
3. 발바닥 피로골절 – 한 지점이 눌리면 날카롭게 아픔
▷ 어떤 질환인가요?
발바닥 뼈에 **미세한 실금(스트레스 골절)**이 생긴 상태로, 격렬한 활동을 하거나, 갑작스럽게 운동량이 늘었을 때 발생합니다.
골절 부위는 주로 **중족골(발바닥 중앙~앞부분)**입니다.
▷ 특징
- 걷거나 뛸 때 발바닥 특정 부위가 콕콕 찌르듯 아픔
- 한쪽에만 발생, 지속적 통증
- 서 있을수록 통증 증가, 휴식 시 완화
- X-ray에서 잘 안 보이고 MRI나 골스캔으로 확인 가능
4. 지방패드 위축 – 쿠션 없이 딱딱하게 바닥이 느껴짐



▷ 어떤 질환인가요?
발바닥에 존재하는 지방패드는 충격을 흡수하는 역할을 합니다. 이 조직이 얇아지거나 손상되면 바닥의 압력을 뼈가 직접 받으며 통증이 생깁니다.
중장년층에서 흔하게 발생하며, 딱딱한 바닥에 오래 서 있을 때 통증이 심해집니다.
▷ 특징
- 발바닥 전체 또는 뒤꿈치 부분이 아픔
- 맨발보다는 신발을 신었을 때 편안함
- 눌렀을 때 뼈 윤곽이 느껴지고, 쿠션감 없음
- 특히 얇은 밑창의 신발 착용 시 증상 악화
5. 티눈, 굳은살 – 압통 중심으로 한 점이 아플 때
▷ 어떤 질환인가요?
지속적인 마찰이나 압력으로 피부 각질층이 두꺼워지면서 생기는 국소적인 병변입니다.
통증이 있을 경우 대부분 피부 안쪽에 코어(핵)이 생긴 티눈일 가능성이 높습니다.
▷ 특징
- 발바닥 딱딱한 부위에 동그랗게 통증
- 눌렀을 때 콕 찌르는 듯한 느낌
- 신발 자극, 오래 서 있을 때 통증 증가
- 육안으로 볼 때 티눈 or 굳은살이 관찰됨
6. 신경포착증후군 – 저림·감각이상 동반
▷ 어떤 질환인가요?
발바닥을 지나는 말초신경이 눌려 신경전달에 문제가 생기는 상태입니다. 단순 통증보다 저릿하고 감각이 이상한 느낌이 더 심한 것이 특징입니다.
▷ 특징
- 찌릿하거나 전기 오는 듯한 통증
- 발가락·발바닥 감각 이상, 무감각
- **발 모양, 신발 압박, 족부 변형(무지외반증 등)**과 관련
- 밤에 저림이 심해지기도 함
7. 족저근막염 외에 잘못 진단되는 사례
많은 사람들이 족저근막염으로 오인하는 경우도 많지만, 실제로는 지간신경종이나 지방패드 위축, 피로골절일 수 있습니다.
‘아침 첫걸음 통증’이 아닌, 서 있을수록 심해지는 통증이라면 다른 질환을 먼저 고려해야 합니다.
8. 발바닥 통증 위치별 의심 질환 요약표
통증 위치 주요 의심 질환 특징
| 발뒤꿈치 안쪽 | 족저근막염 | 아침 첫 발 통증, 눌렀을 때 아픔 |
| 발뒤꿈치 중심 | 피로골절 | 날카로운 압통, 보행 시 악화 |
| 발바닥 전체 | 지방패드 위축 | 오래 서 있을수록 아픔, 쿠션감 부족 |
| 발가락 사이 (특히 3~4번) | 지간신경종 | 저림, 딸깍거림, 앞코 신발에서 심화 |
| 발바닥 중심 국소 부위 | 티눈, 굳은살 | 눌렀을 때 콕 찌르는 통증 |
| 발가락~발바닥 연결 부위 | 신경포착 | 저릿함, 감각 둔화, 신경질환 동반 가능 |
9. 이런 경우 병원 진료를 꼭 받아야 합니다
- 발바닥 통증이 2주 이상 지속되거나 점점 심해지는 경우
- 한쪽 발에 국소적인 압통이 강하고 걷기 어려운 경우
- 통증 외에 **감각이상(저림, 무감각)**이 동반될 때
- 발가락이 벌어지거나 모래 낀 느낌이 드는 경우
- X-ray에서 이상 없었는데도 통증이 계속될 때 → MRI 필요