유방 섬유선종 통증 증상 크기 초음파사진 수술방법 알아보아요
- 카테고리 없음
- 2024. 9. 18. 12:02
유방 섬유선종 통증 증상 크기 초음파사진 수술방법 알아보아요 유방 섬유선종 통증 증상 크기 초음파사진 수술방법 등 정보에 대해 알아보도록 하겠습니다.
유방 섬유선종(Fibrocystic Breast Condition, FCC)은 여성의 유방에서 섬유적 증상과 종양이 생기는 상태입니다. 이 상태는 매월 그 주기적으로 변화하는 유방의 통증, 부종, 구조의 변화 등을 보일 수 있습니다. 유방에 생기는 섬유선종은 암이 아니지만, 암의 위험을 증가시킬 수 있으므로 정기적인 진단이 필요합니다.


유방 섬유선종 정보
유방 섬유선종 통증
유방 섬유선종은 보통 오른쪽에서 많이 나타나며 월경 전 유방통이 있거나 유방암의 가족력이 있는 여성에게서 섬유선종이 더 많이 발생하는 것으로 알려져 있습니다.
유방 섬유선종의 특징으로는 가슴을 만졌을 때 경계가 분명하고 딱딱한 멍울이 만져지며 대부분 크기는 1~2cm지만 4~5cm로 크게 나타날 수도 있습니다.
섬유선종이 있다면 고무와 같은 탄력성으로 만졌을 때 느껴지며 압통이 없고 선종의 경계까 명확하면서 유동성이 있는 것이 특징입니다.


유방 섬유선종 증상
유방 섬유선종은 섬유화 되는 것으로, 주로 유방에서 발견됩니다. 유방 섬유선종의 증상은 다음과 같습니다:
- 통증: 단순한 양성 종양이어서 압통이 느껴지지 않습니다.
- 변형: 유방의 모양이 변했거나, 크기가 변했을 수 있습니다.
- 부종: 유방에서 종양이 느껴지는 것처럼 부종이 생깁니다.(유방 멍울)
- 경미한 가슴통증: 특정 지점에서 경미한 가슴통증이 느껴질 수도 있습니다.
이런 크기의 차이는 유방내에서 활발하게 움직이고 월경 주기에 따라 크기 변화가 있습니다.
유방의 섬유선종은 보통 환자 자신이 발견하는 경우가 많습니다.(유방 안에 무언가 만져져서)
섬유선종은 유방 종양 중 가장 흔한 양성 종양으로 20~50세의 여성까지 흔하며 특히 20대 초반에 발견되는 특징을 갖고 있습니다.
유방 섬유선종을 진단 받기 위해서는 유방 X선, 유방 MRI, 유방조직 검사 등의 검사가 필요할 수 있습니다. 유방 섬유선종의 치료는 적절한 진단 검사 결과에 따라 정해집니다. 주로 수술이 필요할 수 있습니다. 자세한 정보는 의사와 상의하시기 바랍니다.
유방 섬유선종의 원인
유방 섬유선종의 정확한 원인은 밝혀지지 않았지만 젖을 분비하는 유선의 말단 부위인 종말유선관 -소엽 단위 및 그 주위의 결합조직을 포함하는 증식의 과정으로 보고 있으며 여러 요인이 있다고 생각하고 있습니다.
유방 섬유선종의 원인에는 다음과 같은 것들이 있습니다:
- 임신: 임신 중에는 유방에서 피부, 세포, 유방 선종 등이 팽창할 수 있어 통증이 발생할 수 있습니다.
- 수유: 수유 중에는 유방에서 피부와 유방 선종이 팽창하여 통증이 발생할 수 있습니다.
- 수면 불안정: 수면 불안정이 있는 경우 유방에서 통증이 발생할 수 있습니다.
- 스트레스: 스트레스가 많은 경우 유방에서 통증이 발생할 수 있습니다.
- 비정상적인 유방 구조: 유방의 비정상적인 구조는 유방 선종의 통증을 유발할 수 있습니다.
단 폐경 후에는 정상 섬유선 유방조직과 함께 퇴축합니다.
유방 섬유선종의 원인은 개인에 따라 다릅니다. 특정 원인을 알아보기 위해서는 의사와의 상담이 필요할 수 있습니다.
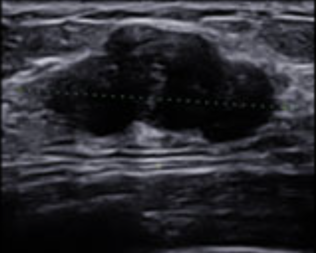
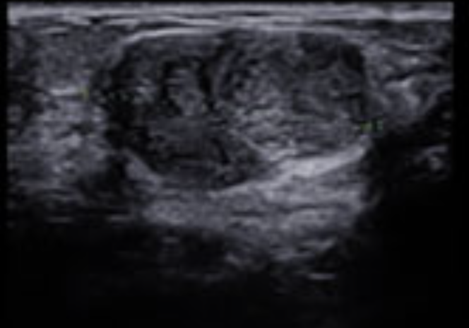
유방 섬유선종 크기, 초음파 사진


유방 섬유선종의 진단과 검사는 일반적인 진찰만으로도 진단이 가능하나 그 확률이 20~50%로 부정확할 만큼 낮아 유방 촬영, 유방 초음파를 같이 시행하여 진단합니다.


유방 섬유선종이라면 유방 촬영상 경계가 잘 보이고 둥근 결절이 보이며 내부에 석회화를 보이기도 합니다.
유방 섬유선종 치료방법
유방섬유선종은 유방조직의 섬유선에서 발생할 수 있습니다. 유방섬유선종의 치료는 증상의 정도와 진행 상황에 따라 다음과 같은 여러 가지 방법 중 하나를 선택할 수 있습니다.
조직적인 절제 수술: 대게 종괴가 크거나 환자의 협조가 미협조적이지 않는 이상 진행하며 외래에서 국소 마취로 진행할 수 도있으며, 유방의 일부 또는 전체를 제거하는 수술을 의미합니다. 이 수술은 매우 작은 유방암의 경우에도 수행할 수 있으며, 큰 유방암의 경우에는 전체 유방을 제거하는 대안으로도 생각할 수 있습니다.
수술을 할 때는 피부를 절개하고 피하조직과 정상 유방조직을 박리하여 제거 후 다시 봉합합니다.
유방 섬유선종의 증상이 보일 때는 병원 방문 후 정확한 진단 그리고 환자 개인의 상태를 확인하여 치료를 진행하시면 됩니다.
이상으로 유방 섬유선종에 대해 알아보았으며 아래는 다른 정보 함께 두었으니 참고 하시길 바랍니다.